衛生士国家試験の対策と傾向~口腔習癖による不正咬合編~
今年国試を受ける皆さん、新学期が始まりましたね。
今回も過去問や類題を出しますので一緒に考えて見てくださいね!
今回は口腔習癖による不正咬合に関する問題です。
まずは第30回歯科衛生士国家試験の過去問の類題です。
口腔習癖による不正咬合に関する出題
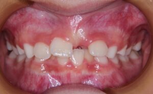
10歳の女児。前歯で食物を咬み切れないことを主訴として来院した。初診時の口腔内写真を次に示す。原因として考えられるのはどれか。1つ選べ。

a 咬唇癖
b 舌突出癖
c 小帯の異常
d 乳歯の早期喪失
口腔習癖による不正咬合に関する出題の解説
そもそも前歯で物が咬み切れない原因は開咬によるものです。上記の選択肢から開咬になる原因を探していきましょう。
a. 咬唇癖は口唇を前歯切縁で咬みこむ口腔習癖の一つで下唇を咬むことが多く、上顎前歯の唇側傾斜や下顎前歯の舌側傾斜を生じます。
b. 舌突出癖は上下前歯の間に舌尖を突き出す癖で、前歯部の間に舌が介在しているため前歯部の唇側傾斜や開咬状態となります。
c. 小帯の異常は上唇小帯で多く見られ、上唇小帯の付着異常によって正中離開がみられます。
d. 乳歯の早期喪失では隣在歯の傾斜や咬合高径の低下がみられます。
以上より正解はb. 舌突出癖です。
類題にチャレンジ!
問題1
5歳の男児。前歯で食物が咬みにくいことを訴えて来院した。全身疾患は認められず、う蝕の治療は終了している。咬合時の口腔内写真を示す。咬合異常の原因として考えられるのはどれか。2つ選べ。

a 歯ぎしり
b 頬杖
c 舌突出癖
d 吸指癖
<解答と解説>
正解:c 舌突出癖 d 吸指癖
- c 舌突出癖は舌を上下顎歯列間に入れ込む癖です。上下前歯部の唇側傾斜や開咬がみられます。
- d 吸指癖の中で最も多いのは母指吸引癖で、上顎乳前歯の唇側傾斜と下顎乳前歯の舌側傾斜が起こります。その結果上顎前突や前歯部の開咬、上顎歯列弓の狭窄がみられます。
問題2
8歳の男児。前歯で物が咬みにくいことを主訴として来院した。初診時の口腔内写真を次に示す。原因として考えられるのはどれか。1つ選べ。

a 吸指癖
b 上唇小帯の付着異常
c 埋伏過剰歯
d 歯ぎしり
<解答と解説>
正解:a 吸指癖
- a 吸指癖の特徴である上顎前歯の唇側傾斜や下顎前歯の舌側傾斜、前歯部開咬が認められます。
問題3
9歳の女児。歯の生え方が気になることを訴えて来院した。口腔内写真を次に示す。原因として考えられるのはどれか。2つ選べ。

a 埋伏歯
b 吸指癖
c 上唇小帯の付着異常
d 中切歯の先天欠如
<解答と解説>
正解:a 埋伏歯 d 中切歯の先天欠如
- 正中離開は上顎中切歯間にみられる空隙で上顎中切歯の遠心転位によるものである。原因として考えられるのは、正中埋伏過剰歯、側切歯の先天欠損、乳歯の晩期残存、上唇小帯の強直、付着異常、口腔習癖などが原因となります。
今回の国試の類似問題いかがだったでしょうか?
これを機に口腔習癖による不正咬合に関する類似問題にトライしてみて下さいね。
次回もお楽しみに!
<参考文献>
・日本医歯薬研修協会 Complete+DH 歯科衛生士 国家試験完全攻略2022年版p.418
~419より引用。


